제작 케이스
전체보기
Modeless
Esthetic
Ortho
Denture
Implant
Crown

Implant
원바디 커스텀 크라운

Esthetic
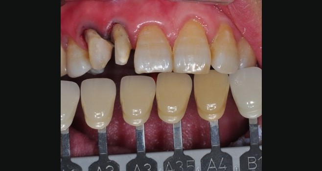
메릴랜드 브릿지
치조골이 너무 얇아서 임플란트를 식립할수없는 케이스에 적용한심미보철 중 emax 소재로 제작한 메릴렌드 브릿지입니다.

Esthetic
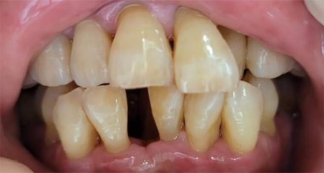
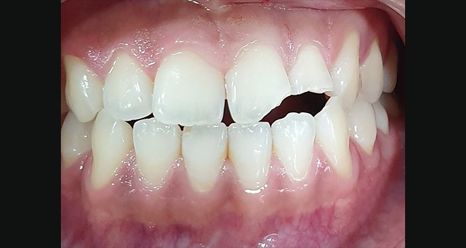
Ceteeth Veneer
자체개발한 테크닉인 ceteeth 로 치아삭제없이 distema 를 해소한 증례입니다.

Esthetic
변색치 심미 보철
심미보철

Modeless
지르코니아 전치
구강스캔 기반 모델리스 심미보철입니다.

Esthetic
Ceteeth
Ceteeth 증례, 교정이 끝난 후 잉여 공간에 구강스캔 후 자사에 BX4 장비로 Ceteeth를 시적한 케이스

Modeless
32번 심미 모델리스
구강스캔 기반 모델리스 심미보철입니다 .교모가 심한 치아도 훌륭한 하모니를 얻을수 있습니다.

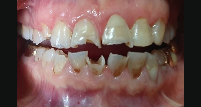
Modeless
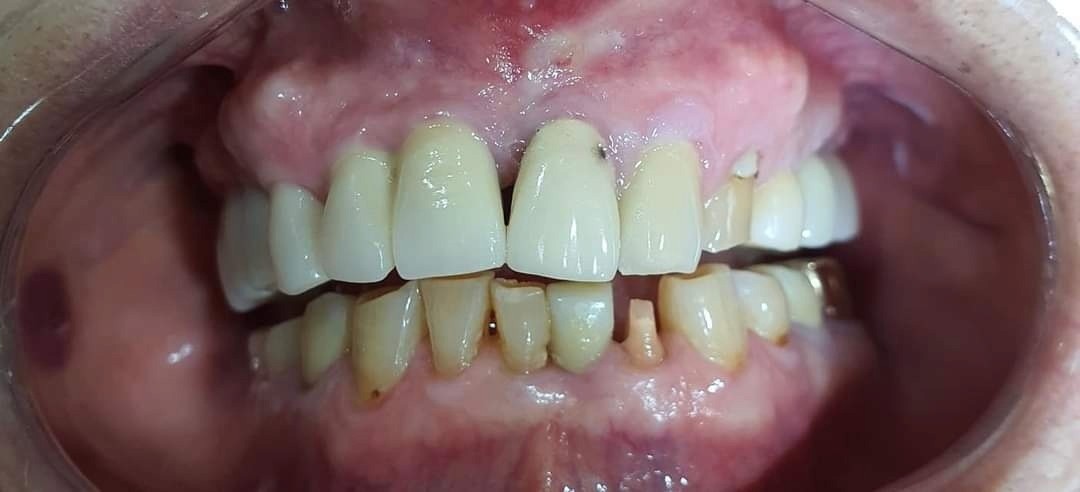
고난이도 모델리스 보철 작업
고도손상치아 케이스를 구강스캔하여 모델리스로 각각의 치아로제작하여 한번에 셋팅한 케이스입니다

Modeless
전치부 고 난이도 임플란트 수복
고난이도 맞춤형 임플란트 구강스켄 모델리스 케이스입니다.

Implant
원바디 커스텀 크라운

Esthetic
메릴랜드 브릿지
치조골이 너무 얇아서 임플란트를 식립할수없는 케이스에 적용한심미보철 중 emax 소재로 제작한 메릴렌드 브릿지입니다.

Esthetic
Ceteeth Veneer
자체개발한 테크닉인 ceteeth 로 치아삭제없이 distema 를 해소한 증례입니다.

Esthetic
변색치 심미 보철
심미보철

Modeless
지르코니아 전치
구강스캔 기반 모델리스 심미보철입니다.

Esthetic
Ceteeth
Ceteeth 증례, 교정이 끝난 후 잉여 공간에 구강스캔 후 자사에 BX4 장비로 Ceteeth를 시적한 케이스

Modeless
32번 심미 모델리스
구강스캔 기반 모델리스 심미보철입니다 .교모가 심한 치아도 훌륭한 하모니를 얻을수 있습니다.

Modeless
고난이도 모델리스 보철 작업
고도손상치아 케이스를 구강스캔하여 모델리스로 각각의 치아로제작하여 한번에 셋팅한 케이스입니다

Modeless
전치부 고 난이도 임플란트 수복
고난이도 맞춤형 임플란트 구강스켄 모델리스 케이스입니다.