스캔 데이터 기반,
적합도와 품질로 신뢰받는 기공소

스캔 데이터 기반,
적합도와 품질로
신뢰받는 기공소

구강스캐너 데이터 기반으로 모델리스 제작을 지원합니다.

구강스캐너 데이터 기반으로 모델리스
제작을 지원합니다.

스캔 데이터 기반,
적합도와 품질로 신뢰받는 기공소

구강스캐너 데이터 기반으로 모델리스 제작을 지원합니다.

Why 강냉이.com

Why 강냉이.com

강냉이.com은 CAD/CAM 기반으로 작업하는 디지털 기공소입니다. 


10년 동안 구강스캔을 활용한 모델리스 보철을 10,000건 이상 제작해왔고, 


풀케이스부터 인레이, 심미 보철까지 좋은 적합도를 만드는 노하우를 갖추고 있습니다. 


치과와의 소통을 가장 중요하게 생각하며, 더 좋은 결과를 위해 매 케이스 최선을 다합니다.

강냉이.com은 CAD/CAM 기반으로
작업하는 디지털 기공소입니다. 


10년 동안 구강스캔을 활용한 모델리스
보철을 10,000건 이상 제작해왔고, 


풀케이스부터 인레이, 심미 보철까지
좋은 적합도를 만드는 노하우를 갖추고 있습니다. 


치과와의 소통을 가장 중요하게 생각하며,
더 좋은 결과를 위해 매 케이스 최선을 다합니다.

강냉이.com은 CAD/CAM 기반으로
작업하는 디지털 기공소입니다. 


10년 동안 구강스캔을 활용한 모델리스
보철을 10,000건 이상 제작해왔고, 


풀케이스부터 인레이, 심미 보철까지
좋은 적합도를 만드는 노하우를 갖추고 있습니다. 


치과와의 소통을 가장 중요하게 생각하며,
더 좋은 결과를 위해 매 케이스 최선을 다합니다.

서비스 소개

서비스 소개

강냉이 기공소는 최상의 치과 보철물을 만들기 위해 끊임없이 노력합니다.
최첨단 기계설비와 청결한 제조환경 으로 최상의 결과물을 만듭니다.

강냉이 기공소는 최상의 치과 보철물을
만들기 위해 끊임없이 노력합니다.

최첨단 기계설비와 청결한 제조환경 으로
최상의 결과물을 만듭니다.

Crown

자연치아에 가까운 컨택·마진·교합을 목표로 제작합니다.

Crown

자연치아에 가까운 컨택·마진·교합을 목표로 제작합니다.

Crown

자연치아에 가까운 컨택·마진·교합을 목표로 제작합니다.

임플란트

Implant

케이스에 맞는 교합/에머전스/스크류홀 
 위치를 고려해 디자인합니다.

임플란트

Implant

케이스에 맞는 교합/ 에머전스/스크류홀 
 위치를 고려해 디자인합니다.

임플란트

Implant

케이스에 맞는 교합/ 에머전스/스크류홀 
 위치를 고려해 디자인합니다.

덴처

Denture

전체/부분 덴쳐 케이스를 진행합니다. 
 (단계별 피드백 기반)

덴처

Denture

전체/부분 덴쳐 케이스를 진행합니다. 
 (단계별 피드백 기반)

덴처

Denture

전체/부분 덴쳐 케이스를 진행합니다. 
 (단계별 피드백 기반)

투명교정장치

Ortho

교정 장치/모델 등 요청 스펙에 맞춰 제작합니다.

투명교정장치

Ortho

교정 장치/모델 등 요청 스펙에 맞춰 제작합니다.

투명교정장치

Ortho

교정 장치/모델 등 요청 스펙에 맞춰 제작합니다.

심미보철

Esthetic

색/텍스처/형태 재현을 우선으로 심미 케이스를 제작합니다.

심미보철

Esthetic

색/텍스처/형태 재현을 우선으로 심미 케이스를 제작합니다.

심미보철

Esthetic

색/텍스처/형태 재현을 우선으로 심미 케이스를 제작합니다.

모델리스

Digital Modeless

구강스캔 기반으로 모델리스 제작 흐름을 지원합니다.

Digital Modeless

구강스캔 기반으로 모델리스 제작 흐름을 지원합니다.

모델리스

Digital Modeless

구강스캔 기반으로 모델리스 제작 흐름을 지원합니다.

워크플로우

워크플로우

어떻게 의뢰하나요?

어떻게 의뢰하나요?

  • Step 1

    케이스 접수

    스캔(STL) / 처방 / 쉐이드 / 참고 사진을 전달

  • Step 2

    검토 & 일정 안내

    난이도/재료/납기 확인 후 제작 일정 공유

  • Step 3

    디자인 & 제작

    CAD 디자인 → 
제작/가공 → 마감

  • Step 4

    검수 & 출고

    최종 체크 후 배송/전달

Step 1

케이스 접수

스캔(STL) / 처방 / 쉐이드 / 참고 사진을 전달

Step 2

검토 & 일정 안내

난이도/재료/납기 확인 후 제작 일정 공유

검토 및 일정 일러스트

Step 3

디자인 & 제작

CAD 디자인 → 
제작/가공 → 마감

디자인 및 제작 일러스트

Step 4

검수 & 출고

최종 체크 후 배송/전달

검수 출고 일러스트

*처음 거래라면 테스트 케이스/샘플링 가능

*처음 거래라면 테스트 케이스/샘플링 가능

항상 최선을 다합니다

항상 최선을 다합니다

고객의 소리

고객의 소리

"좋은 치료는 좋은 기공물에서 완성된다고 생각합니다."

좋은 치료는 좋은 기공물에서 완성된다고 생각합니다. 늘 기공물의 완성도와 환자를 먼저 생각하는 마음으로 노력하시는 만큼 앞으로의 더 큰 발전과 번창을 진심으로 응원합니다.

청담세브란스치과

권혁준

"좋은 치료는 좋은 기공물에서 완성된다고 생각합니다."

좋은 치료는 좋은 기공물에서 완성된다고 생각합니다. 늘 기공물의 완성도와 환자를 먼저 생각하는 마음으로 노력하시는 만큼 앞으로의 더 큰 발전과 번창을 진심으로 응원합니다.

청담세브란스치과

권혁준

"아날로그와 디지털 모두 잘 소화해 내는 기공역량."

강신일 소장님의 뛰어난 센스와 근면성실함 때문에 오랜 세월 믿고 거래해 왔습니다. 아날로그와 디지털 모두 잘 소화해 내는 기공역량을 갖추고 있을 뿐 아니라 항상 잘 소통하고 노력하는 모습이 맘에 듭니다. 앞으로도 계속 믿고 거래할 수 있는 기공소라 생각되어 다른 분께 추천드립니다.

예원부부치과

오충원 원장

"아날로그와 디지털 모두 잘 소화해 내는 기공역량."

강신일 소장님의 뛰어난 센스와 근면성실함 때문에 오랜 세월 믿고 거래해 왔습니다. 아날로그와 디지털 모두 잘 소화해 내는 기공역량을 갖추고 있을 뿐 아니라 항상 잘 소통하고 노력하는 모습이 맘에 듭니다. 앞으로도 계속 믿고 거래할 수 있는 기공소라 생각되어 다른 분께 추천드립니다.

예원부부치과

오충원 원장

"임상에서의 요구를 잘 이해하고 소통이 원활해 더욱 믿고 맡길 수 있습니다."

심미보철을 위해 찾게 된 기공소입니다. 처음 거래했을 때 느꼈던 성실함과 책임감을 지금까지도 변함없이 지켜오고 있습니다. 작은 디테일까지 놓치지 않고 정성껏 보철물을 제작해 주며, 임상에서의 요구를 잘 이해하고 소통이 원활해 더욱 믿고 맡길 수 있습니다.

소나무치과

김상준

"임상에서의 요구를 잘 이해하고 소통이 원활해 더욱 믿고 맡길 수 있습니다."

심미보철을 위해 찾게 된 기공소입니다. 처음 거래했을 때 느꼈던 성실함과 책임감을 지금까지도 변함없이 지켜오고 있습니다. 작은 디테일까지 놓치지 않고 정성껏 보철물을 제작해 주며, 임상에서의 요구를 잘 이해하고 소통이 원활해 더욱 믿고 맡길 수 있습니다.

소나무치과

김상준

  • "좋은 치료는 좋은 기공물에서 완성된다고 생각합니다."

    좋은 치료는 좋은 기공물에서 완성된다고 생각합니다. 늘 기공물의 완성도와 환자를 먼저 생각하는 마음으로 노력하시는 만큼 앞으로의 더 큰 발전과 번창을 진심으로 응원합니다.

    청담세브란스치과

    권혁준

  • "아날로그와 디지털 모두 잘 소화해 내는 기공역량."

    강신일 소장님의 뛰어난 센스와 근면성실함 때문에 오랜 세월 믿고 거래해 왔습니다. 아날로그와 디지털 모두 잘 소화해 내는 기공역량을 갖추고 있을 뿐 아니라 항상 잘 소통하고 노력하는 모습이 맘에 듭니다. 앞으로도 계속 믿고 거래할 수 있는 기공소라 생각되어 다른 분께 추천드립니다.

    예원부부치과

    오충원 원장

  • "임상에서의 요구를 잘 이해하고 소통이 원활해 더욱 믿고 맡길 수 있습니다."

    심미보철을 위해 찾게 된 기공소입니다. 처음 거래했을 때 느꼈던 성실함과 책임감을 지금까지도 변함없이 지켜오고 있습니다. 작은 디테일까지 놓치지 않고 정성껏 보철물을 제작해 주며, 임상에서의 요구를 잘 이해하고 소통이 원활해 더욱 믿고 맡길 수 있습니다.

    소나무치과

    김상준

치료 사례

치료 사례

어떻게 의뢰하나요?

어떻게 의뢰하나요?

First
Second
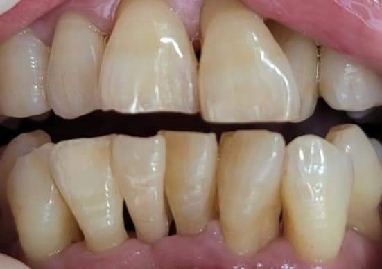
Before
After

임플란트 없이 결손치 수복 가능

치조골이 너무 얇아서 임플란트를 식립할수없는
케이스에 적용한심미보철 중 emax 소재로 제작한 메릴렌드 브릿지입니다.

치조골이 너무 얇아서 임플란트를 식립할수없는 케이스에 적용한심미보철 중 emax 소재로 제작한 메릴렌드 브릿지입니다.

치조골이 너무 얇아서 임플란트를 식립할수없는
케이스에 적용한심미보철 중 emax 소재로 제작한 메릴렌드 브릿지입니다.

First
Second
Before
After

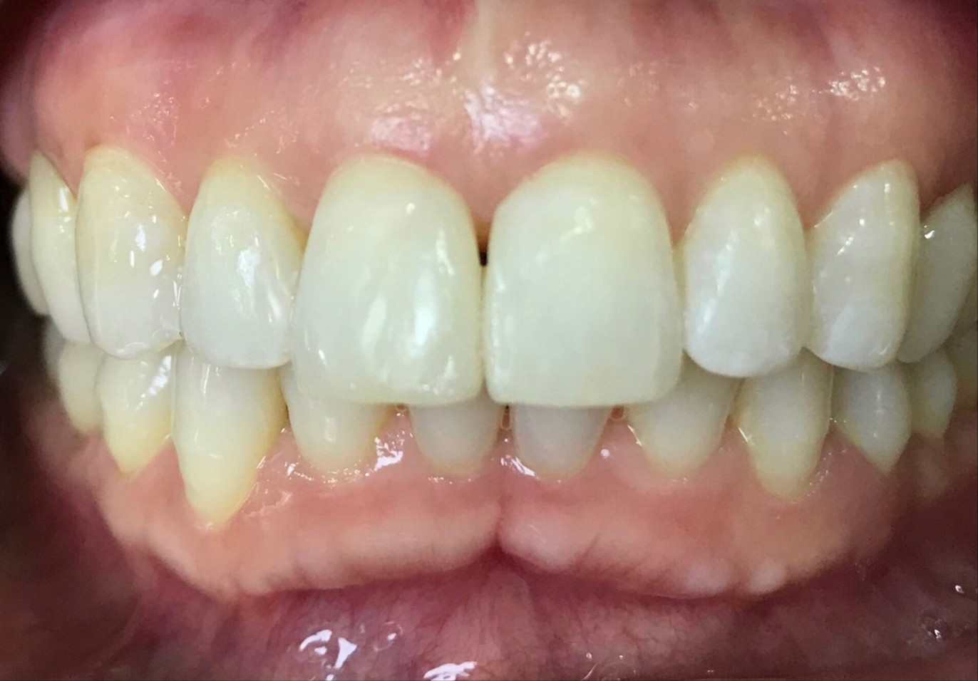
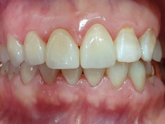
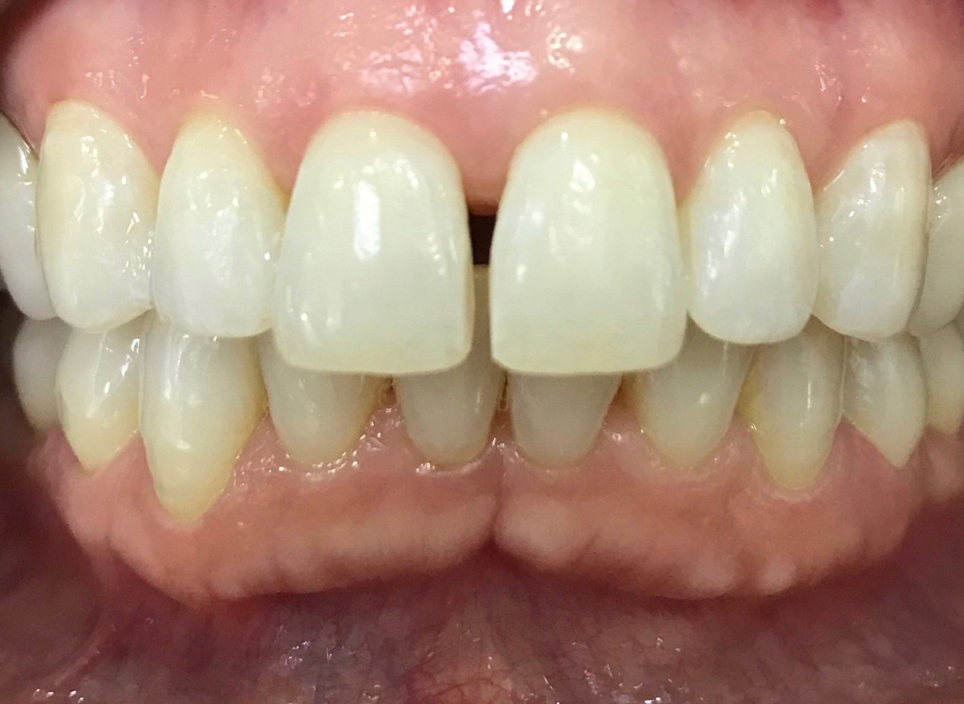
벌어진 치아 복구 솔루션

자체개발한 테크닉인 ceteeth 로
치아삭제없이 distema 를 해소한 증례입니다

자체개발한 테크닉인 ceteeth 로 치아삭제없이
distema 를 해소한 증례입니다

자체개발한 테크닉인 ceteeth 로 치아삭제없이 distema 를 해소한 증례입니다.

자체개발한 테크닉인 ceteeth 로
치아삭제없이 distema 를 해소한 증례입니다

First
Second
Before
After

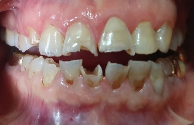
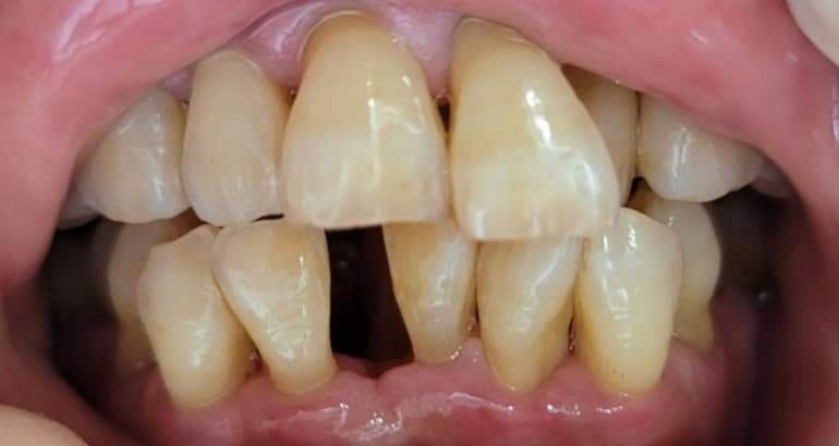
모델리스 풀케이스

모델리스 풀케이스

고도손상치아 케이스를 구강스캔하여
모델리스로 각각의 치아로제작하여 한번에
셋팅한 케이스입니다

고도손상치아 케이스를 구강스캔하여 모델리스로
각각의 치아로제작하여 한번에 셋팅한 케이스입니다

고도손상치아 케이스를 구강스캔하여 모델리스로 각각의 치아로제작하여 한번에 셋팅한 케이스입니다.

고도손상치아 케이스를 구강스캔하여
모델리스로 각각의 치아로제작하여 한번에
셋팅한 케이스입니다

기공장비

기공장비

하이엔드 라인업 기공장비 구비

하이엔드 라인업 기공장비 구비

  • DWX-51D 5-Axis 
 Dental Milling Machine

    일본 ROLAND사의 동시 5축장비 보유

  • ATLAS BX4

    각 implant 회사의(외산 모두 가능) 전용 Custom 환봉을 4축 장비로 직접 제작 함으로써 정확한 SMART FIT을 제공하고 있습니다

    Dental Plus BX4
  • 3D PRINTERS

    ZIG가 없어서 Setting시 어려움을 해결하기 위해 3D프린터 2대를 도입하여 추가 요청시 3D ZIG를 제공해 드립니다.

    3D 프린터
  • Programat EP 3010

    Ivoclar ep 3010 포세린 퍼네스로 최상의 
 심미보철과 특히 emax press 작업을하는 고급장비입니다.

    Programat EP 3010
  • 일본 TOSHO사 파우더 사용

    100% 국내 제작

    일본 Tosho사 파우더
  • DWX-51D 5-Axis 
 Dental Milling Machine

    일본 ROLAND사의 동시 5축장비 보유

  • ATLAS BX4

    각 implant 회사의(외산 모두 가능) 전용 Custom 환봉을 4축 장비로 직접 제작 함으로써 정확한 SMART FIT을 제공하고 있습니다

    Dental Plus BX4
  • 3D PRINTERS

    ZIG가 없어서 Setting시 어려움을 해결하기 위해 3D프린터 2대를 도입하여 추가 요청시 3D ZIG를 제공해 드립니다.

    3D 프린터
  • Programat EP 3010

    Ivoclar ep 3010 포세린 퍼네스로 최상의 
 심미보철과 특히 emax press 작업을하는 고급장비입니다.

    Programat EP 3010
  • 일본 TOSHO사 파우더 사용

    100% 국내 제작

    일본 Tosho사 파우더
  • DWX-51D 5-Axis 
Dental Milling Machine

    일본 ROLAND사의 동시 5축장비 보유

  • ATLAS BX4

    각 implant 회사의(외산 모두 가능) 전용 Custom 환봉을 4축 장비로 직접 제작 함으로써 정확한 SMART FIT을 제공하고 있습니다

  • 3D PRINTERS

    ZIG가 없어서 Setting시 어려움을 해결하기 위해 3D프린터 2대를 도입하여 추가 요청시 3D ZIG를 제공해 드립니다.

  • Programat EP 3010

    Ivoclar ep 3010 포세린 퍼네스로 최상의 
 심미보철과 특히 emax press 작업을하는 고급장비입니다.

  • 일본 TOSHO사 파우더 사용

    100% 국내 제작

Contact

Contact

의뢰/상담

의뢰/상담

안녕하세요 강냉이.com 입니다.

궁금한 점이 있으면 언제든 메시지 주세요,
확인 후 빠르게 답변드릴게요.

안녕하세요 강냉이.com 입니다.

궁금한 점이 있으면 언제든 메시지 주세요,
확인 후 빠르게 답변드릴게요.

안녕하세요 강냉이.com 입니다.

궁금한 점이 있으면 언제든 메시지 주세요,
확인 후 빠르게 답변드릴게요.

강냉이.com

Dental Lab

주소와 연락쳐

서울특별시 은평구 진흥로 51, 302호 (역촌동, 은혜빌딩)

전화: 02)358 2804

모바일: +82 10 4749 2804

이메일: kangdoc80@naver.com

강냉이.com

Dental Lab

주소와 연락쳐

서울특별시 은평구 진흥로 51, 302호 (역촌동, 은혜빌딩)

전화: 02)358 2804

모바일: +82 10 4749 2804

이메일: kangdoc80@naver.com

강냉이.com

Dental Lab

주소와 연락쳐

서울특별시 은평구 진흥로 51, 302호 (역촌동, 은혜빌딩)

전화: 02)358 2804

모바일: +82 10 4749 2804

이메일: kangdoc80@naver.com