메릴랜드 브릿지

메릴랜드 브릿지

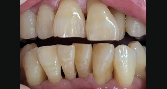
치조골이 너무 얇아서 임플란트를 식립할수없는 케이스에 적용한심미보철 중 emax 소재로 제작한 메릴렌드 브릿지입니다.

초진 사진
emax 메릴랜드 브릿지 제작
구강 내 세팅 후 사진

강냉이.com

Dental Lab

주소와 연락쳐

서울특별시 은평구 진흥로 51, 302호 (역촌동, 은혜빌딩)

전화: 02)358 2804

모바일: +82 10 4749 2804

이메일: kangdoc80@naver.com

강냉이.com

Dental Lab

주소와 연락쳐

서울특별시 은평구 진흥로 51, 302호 (역촌동, 은혜빌딩)

전화: 02)358 2804

모바일: +82 10 4749 2804

이메일: kangdoc80@naver.com

강냉이.com

Dental Lab

주소와 연락쳐

서울특별시 은평구 진흥로 51, 302호 (역촌동, 은혜빌딩)

전화: 02)358 2804

모바일: +82 10 4749 2804

이메일: kangdoc80@naver.com