32번 심미 모델리스

32번 심미 모델리스

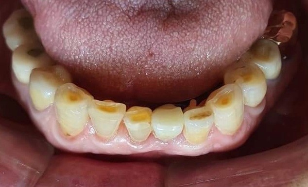
구강스캔 기반 모델리스 심미보철입니다 .교모가 심한 치아도 훌륭한 하모니를 얻을수 있습니다.

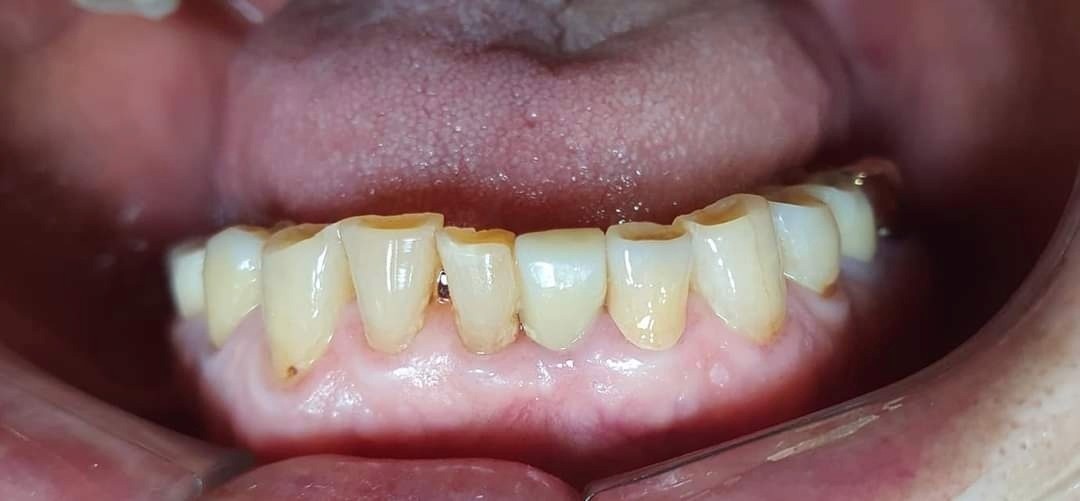
초진 프랩 후 사진
역시 이정도케이스는 모델리스로
완성된 지르코니아 사진
31번이 보철이라 하는데, 강냉이닷컴은 32번을 제작했어요

강냉이.com

Dental Lab

주소와 연락쳐

서울특별시 은평구 진흥로 51, 302호 (역촌동, 은혜빌딩)

전화: 02)358 2804

모바일: +82 10 4749 2804

이메일: kangdoc80@naver.com

강냉이.com

Dental Lab

주소와 연락쳐

서울특별시 은평구 진흥로 51, 302호 (역촌동, 은혜빌딩)

전화: 02)358 2804

모바일: +82 10 4749 2804

이메일: kangdoc80@naver.com

강냉이.com

Dental Lab

주소와 연락쳐

서울특별시 은평구 진흥로 51, 302호 (역촌동, 은혜빌딩)

전화: 02)358 2804

모바일: +82 10 4749 2804

이메일: kangdoc80@naver.com