고난이도 모델리스 보철 작업

고난이도 모델리스 보철 작업

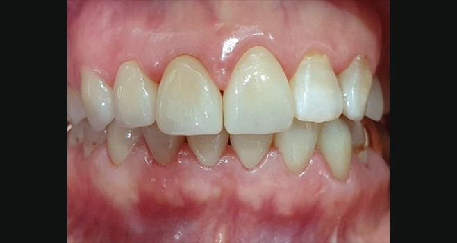
고도손상치아 케이스를 구강스캔하여 모델리스로 각각의 치아로제작하여 한번에 셋팅한 케이스입니다

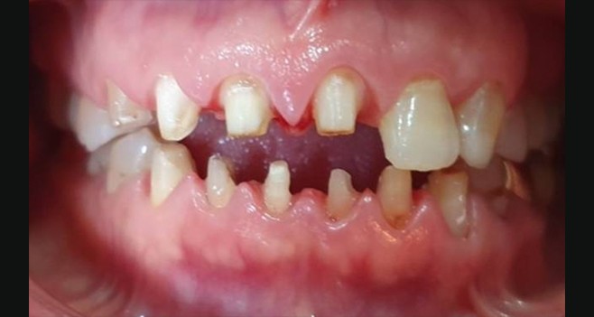
고도손상 치아 초진 사진
프렙후 사진
모델리스로 작업한 지르코니아 세팅 사진

강냉이.com

Dental Lab

주소와 연락쳐

서울특별시 은평구 진흥로 51, 302호 (역촌동, 은혜빌딩)

전화: 02)358 2804

모바일: +82 10 4749 2804

이메일: kangdoc80@naver.com

강냉이.com

Dental Lab

주소와 연락쳐

서울특별시 은평구 진흥로 51, 302호 (역촌동, 은혜빌딩)

전화: 02)358 2804

모바일: +82 10 4749 2804

이메일: kangdoc80@naver.com

강냉이.com

Dental Lab

주소와 연락쳐

서울특별시 은평구 진흥로 51, 302호 (역촌동, 은혜빌딩)

전화: 02)358 2804

모바일: +82 10 4749 2804

이메일: kangdoc80@naver.com