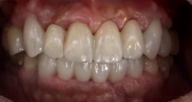
전치부 고 난이도 임플란트 수복

전치부 고 난이도 임플란트 수복

고난이도 맞춤형 임플란트 구강스켄 모델리스 케이스입니다.

bone 의 상태를 고려하여 식립한 임플란트 패스
아이디얼한 배열
상.하악 13개 디자인 완성
배열에따른 아이디얼한 커스텀 디자인
엑소캐드 디자인 완료
풀 셋팅한 상태

강냉이.com

Dental Lab

주소와 연락쳐

서울특별시 은평구 진흥로 51, 302호 (역촌동, 은혜빌딩)

전화: 02)358 2804

모바일: +82 10 4749 2804

이메일: kangdoc80@naver.com

강냉이.com

Dental Lab

주소와 연락쳐

서울특별시 은평구 진흥로 51, 302호 (역촌동, 은혜빌딩)

전화: 02)358 2804

모바일: +82 10 4749 2804

이메일: kangdoc80@naver.com

강냉이.com

Dental Lab

주소와 연락쳐

서울특별시 은평구 진흥로 51, 302호 (역촌동, 은혜빌딩)

전화: 02)358 2804

모바일: +82 10 4749 2804

이메일: kangdoc80@naver.com