임플란트 모델리스

임플란트 모델리스

커스텀 어버트먼트에 완벽한 적합도를 확인할수있음 (3번 사진 참고)

초진 파노라마
커스텀 장착
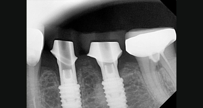
커스텀 안착상태 페리사진
보철셋팅
풀 셋팅 후 파노라마사진

강냉이.com

Dental Lab

주소와 연락쳐

서울특별시 은평구 진흥로 51, 302호 (역촌동, 은혜빌딩)

전화: 02)358 2804

모바일: +82 10 4749 2804

이메일: kangdoc80@naver.com

강냉이.com

Dental Lab

주소와 연락쳐

서울특별시 은평구 진흥로 51, 302호 (역촌동, 은혜빌딩)

전화: 02)358 2804

모바일: +82 10 4749 2804

이메일: kangdoc80@naver.com

강냉이.com

Dental Lab

주소와 연락쳐

서울특별시 은평구 진흥로 51, 302호 (역촌동, 은혜빌딩)

전화: 02)358 2804

모바일: +82 10 4749 2804

이메일: kangdoc80@naver.com